Sunday, July 19, 2020

Awasome How Dentist Fix Broken Teeth References

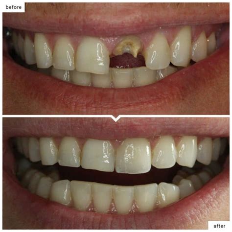
Dental Broken Tooth Repair in Birmingham, MI Scott J. Owens DDS
Dental Broken Tooth Repair in Birmingham, MI Scott J. Owens DDS from www.myperfectsmiledds.com

Are you tired of living with a broken tooth? Do you dread the thought of going to the dentist to get it fixed? Well, fear no more! In this article, we will explore how dentists fix broken teeth in a way that will put you at ease and make the process as painless as possible.

Having a broken tooth can be a real pain. It can affect your ability to eat and speak properly, and it can also be a source of embarrassment. But rest assured, dentists have the knowledge and tools to fix your broken tooth and restore your smile.

So, how do dentists fix broken teeth? The first step is to assess the damage. The dentist will examine the broken tooth and determine the best course of action. Depending on the severity of the break, the dentist may recommend a variety of treatments, such as bonding, veneers, or crowns.

In summary, dentists have a range of treatments available to fix broken teeth, including bonding, veneers, and crowns. These treatments can restore the appearance and function of your tooth, allowing you to eat, speak, and smile with confidence once again.

How Dentists Fix Broken Teeth: A Personal Experience

When I broke my front tooth in a freak accident, I was devastated. I was worried about how it would affect my appearance and self-confidence. But my dentist assured me that he could fix it, and he did just that. He started by cleaning the broken tooth and removing any sharp edges. Then, he used a tooth-colored resin to bond the broken pieces together. The whole process was quick and painless, and I was amazed at how natural my tooth looked afterwards.

Bonding is just one of the many techniques dentists use to fix broken teeth. Another common method is the use of veneers. Veneers are thin shells that are custom-made to fit over the front surface of a tooth. They can be used to cover chips, cracks, and discoloration, giving you a perfect smile.

The History and Myth of How Dentists Fix Broken Teeth

Throughout history, people have sought ways to fix broken teeth. In ancient times, this often involved crude methods such as using animal bones or seashells to replace missing teeth. Thankfully, we have come a long way since then. Today, dentists use advanced techniques and materials to repair broken teeth and restore their natural appearance.

There are also many myths and misconceptions about how dentists fix broken teeth. One common myth is that once a tooth is broken, it cannot be fixed. This is simply not true. Dentists have a wide range of tools and techniques at their disposal to fix broken teeth and restore their function.

The Hidden Secret of How Dentists Fix Broken Teeth

The hidden secret of how dentists fix broken teeth lies in their expertise and attention to detail. Dentists undergo years of training and education to develop the skills necessary to repair broken teeth. They use specialized tools and techniques to ensure a precise and durable restoration. Additionally, dentists stay up-to-date with the latest advancements in dental materials and technology to provide the best possible care for their patients.

One important aspect of fixing broken teeth is ensuring a proper bite alignment. When a tooth is broken, it can affect the way your teeth come together when you bite down. This can lead to further oral health issues if not addressed. Dentists take into account the alignment of your bite when repairing broken teeth to ensure a comfortable and functional result.

Recommendations for How Dentists Fix Broken Teeth

If you have a broken tooth, it is important to seek treatment from a qualified dentist as soon as possible. Delaying treatment can lead to further damage and complications. The best way to find a reputable dentist is to ask for recommendations from family, friends, or your general dentist.

When visiting a dentist for a broken tooth, be sure to ask about their experience and expertise in restorative dentistry. It is also a good idea to inquire about the materials and techniques they use to fix broken teeth. A skilled dentist will be able to provide you with a personalized treatment plan that meets your needs and goals.

How Dentists Fix Broken Teeth and Related Keywords

When it comes to fixing broken teeth, dentists have a range of treatments and techniques at their disposal. Some common keywords related to how dentists fix broken teeth include bonding, veneers, crowns, dental implants, and tooth extraction. Each of these treatments has its own benefits and considerations, and the best option for you will depend on the extent of the damage and your individual needs.

Tips for How Dentists Fix Broken Teeth

If you find yourself with a broken tooth, here are some tips to keep in mind:

  1. Seek prompt dental care: The sooner you seek treatment, the better the chances of saving your tooth and preventing further damage.
  2. Handle the broken tooth with care: Avoid touching the root of the tooth and rinse it gently with water if it is dirty.
  3. Protect the broken tooth: If you can't get to a dentist right away, cover the broken tooth with dental wax or sugarless gum to protect it.
  4. Maintain good oral hygiene: Brush and floss regularly to keep the area around the broken tooth clean and prevent infection.

Question and Answer about How Dentists Fix Broken Teeth

Q: Can a broken tooth be fixed without a dentist?

A: While there are temporary measures you can take to protect a broken tooth, such as covering it with dental wax or sugarless gum, it is important to see a dentist for proper treatment.

Q: How long does it take to fix a broken tooth?

A: The time it takes to fix a broken tooth depends on the severity of the break and the chosen treatment. Simple repairs can often be completed in one visit, while more complex cases may require multiple visits.

Q: Will fixing a broken tooth be painful?

A: Dentists take steps to ensure your comfort during the treatment process. Local anesthesia can be used to numb the area, and sedation options are available for those who experience dental anxiety.

Q: Can a broken tooth be prevented?

A: While accidents happen, there are steps you can take to reduce the risk of breaking a tooth. These include wearing a mouthguard during sports activities, avoiding chewing on hard objects, and maintaining good oral hygiene.

Conclusion of How Dentists Fix Broken Teeth

In conclusion, dentists have a variety of techniques and treatments available to fix broken teeth. From bonding and veneers to crowns and dental implants, dentists can restore the function and appearance of your broken tooth. If you find yourself with a broken tooth, don't hesitate to seek treatment from a qualified dentist. With their expertise and attention to detail, dentists can help you regain your smile and confidence.

No comments:

Post a Comment

Best Steakhouses in Chicago The MICHELIN Guide

Table Of Content Where to get your fix in America's meat mecca. Eater Chicago main menu CHICAGO'S PREMIER STEAKHOUSE WITH A MODERN T...